大龄剩女的蜕变之路
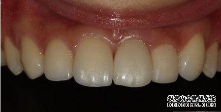
基本信息:方小姐,29岁,因老鼠牙来院就诊
患者自述:对自己的前牙形态和颜色均不满意,目前已到适婚年龄,却仍然单身,几次相亲都因为牙齿难看,而被委婉拒绝,为此感到十分自卑,急切要求美容修复。
平时工作比较忙,无法兼顾长达2年之久的钢丝正畸,想寻求一种不用戴牙套,时间较短的牙齿矫正方式。
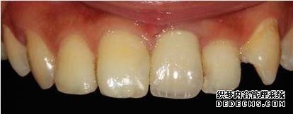
诊断方案:通过3D数字化全景机的全面检查,和患者的主观述求,最终选定美容冠牙齿矫正修复方案,满足患者既想矫正牙齿,又想美白牙齿的需求,同时不戴牙套,7天快速完成,方小姐很快采纳了该方案。
初诊照
美容冠矫正修复前

美容冠矫正修复后
