图片 全口牙缺失修复前后_博狗体育在线_博狗在线-注册|官网
美牙热线:400-8888-888
    当前位置:博狗体育在线_博狗在线-注册|官网 > 关于医院 > 康复案例 >
全口牙缺失修复前后
来源:博狗体育在线_博狗在线-注册|官网 更新时间:2015-04-06 11:09 点击:
新年特惠送祝福

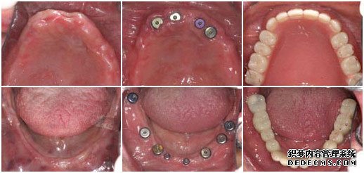
                                 种植牙前                             植入种植体后                   套上烤瓷牙冠完成手术

 

患者:王老伯

 

年龄:61岁

 

职业:退休

 

牙症:全口牙缺失

 

检查:全口牙齿缺失,无能明显依托的牙根,X片显示根尖无异常

 

美牙方案:通过口腔数码内窥镜、口腔全景机及微创无痛设备,精密观测口腔内的状况,运用先进的瑞士ITI种植牙技术进行种植。 

 

美牙后:全口牙修复成功,恢复了咀嚼功能,饮食和说话都能自如。

 

美牙技术:韩国登腾Dentium

 

美牙时间:6个月

 

王老伯来武汉爱齿尔口腔就诊的时候,情况非常糟糕,在医生的检查下,发现他口腔内的牙齿全部缺失,并没有可持久依托的牙根,面对这一情况,医生只有建议王老伯做种植牙。虽说种植牙的治疗时间较长,但是对于王老伯这样的牙齿状况,种植牙是一种十分理想的选择。

由于王老伯今年已经61岁,所以在植入种植体后的恢复时间比一般人要常一些,花了将近5个月的时间才长好,但这并不影响种植牙的效果。最后在套烤瓷牙冠的时候,王老伯的家人也感到十分惊异,因为种出来的牙齿不但美观漂亮,甚至比王老伯之前的真牙还要逼真,一下子王老伯的牙齿看起来仿佛只有20多岁。而最最高兴的还是王老伯,他说:“我以前戴的全口活动假牙,吃东西不方便,连老伴弄的饭菜也都不想吃,可这次种牙太成功了,真是那句老话:‘牙好,胃口就好啊!’,太感谢你们了”

温馨提示:当文章不能完全解决您的问题时,请点击在线咨询与西宁京瑞口腔专家一对一交流!打字不方便的朋友可拔打我院24小时咨询热线:09718222218,与专业口腔医生进行语音交流。
    西宁京瑞口腔以专业的心,做专业的事!现在进行网上预约,享受"优惠活动",不用排队,节省您的时间和精力!